CBCT dental scan in Dubai
Get detailed images of your teeth to help your dentists identify any issues.
From joints to roots and your entire oral cavity, CBCT dental scan at Beauté Concept in Dubai is the solution to detect any oral problems.



What is CBCT (Dental Radiology)?
Cone beam CT scan or CBCT is a type of extraoral X-ray test used by dentists. It can take 3-dimensional images of your teeth, jaws, joints, nerves, and sinuses. This dental CT scan detects tumors or facial fractures while giving more exact information about the structure of your jawbone. Dentists also use CBCT for dental implants as they can measure the height and width of your jawbone. This precision helps them to minimize errors when placing implants. CBCT in dentistry has opened a new horizon for dental implants.
What are the benefits of a dental cone beam CT scan?
3-D images and more information
Lower amount of radiation than a regular CT scan
Higher quality and precision
Maximizing accuracy in dental implants


Orthodontic services and treatments we offer
Based on the size and shape of your lips, we offer lip enlargement and lip reduction surgery in Dubai.

3D scan dental
3D scans help with better diagnosis and proper treatment through detailed images of your teeth, jaws, nerves, joints, and sinuses. A 3D scan for dental implants is a common practice to ensure accuracy in results. Besides, if a fracture or a tumor is present, they are detectable with these images

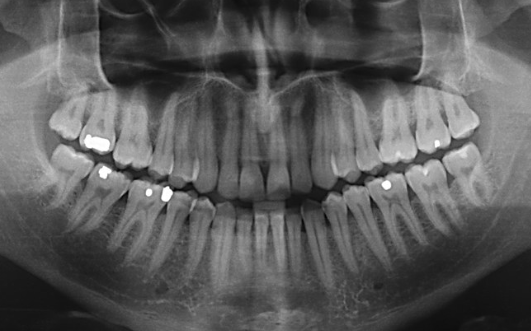
Full panoramic X-rays
A panoramic X-ray gives you the image of your entire oral structure in one single image. This type of X-ray is like an overview of your oral health. Upper and lower teeth, jaws, joints, and their supporting bone along with nerves and sinuses are all depicted in panoramic X-rays.

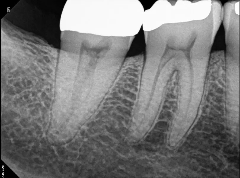
Single teeth X-rays
Single teeth X-ray is an image of a tooth depicted from the crown to the point where it joins the jaw. It usually takes two or a portion of your teeth either from the upper or lower jaw. Single tooth X-ray gives valuable information on root health by showing any abnormal tissue changes
Why choose us
Advanced technology
A team of certified radiologists and dentists
Taking all the safety measures to ensure no harm
High precision requiring no repeats



